안녕하세요. 인천 남동구에 있는 모두병원입니다 오늘은 발목인공관절수술을 소개해드리겠습니다. 먼저 인공관절 치환술에 대해 설명드리겠습니다. 그러면 이해하기 쉽습니다. 관절 교체란 무엇입니까?
![]()
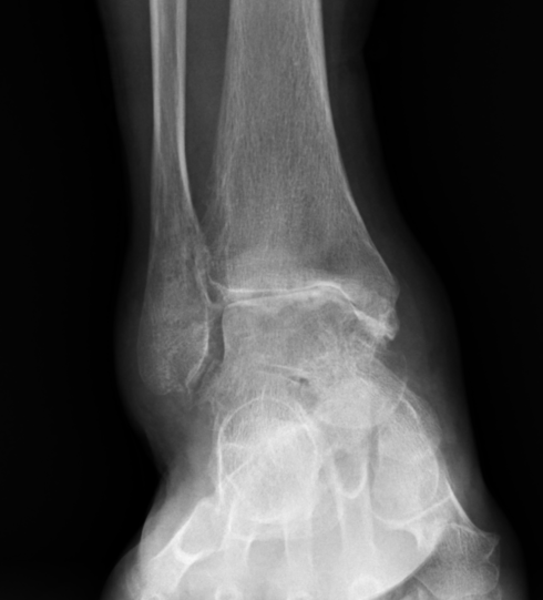
어깨, 무릎, 발목 관절면의 심한 마모로 인해 관절면이 광범위하게 손상되어 어깨, 무릎, 발목을 움직일 때 노출된 통증으로 통증이 가중된다. 뼈는 상대적이지만 휴식 중에도 통증이 발생합니다. 약물, 물리치료, 주사 등으로 호전되지 않으면 인공관절 치환술을 고려할 수 있다.
![]()
인간의 뼈와 가장 유사한 성질을 가진 금속과 마찰계수가 작은 폴리에틸렌으로 구성된 인공관절은 심하게 아프거나 딱딱해진 무릎을 새로운 관절로 교체해 통증을 없애고 관절 가동성을 확보할 수 있다. 수술이지만 무릎뿐만 아니라 발목에도. 관절염으로 인해 발목 관절이 심하게 손상되고, 통증이 너무 심해 걸을 수 없고, 약물, 물리치료 등 다른 방법으로도 해결할 수 없는 경우 인공관절 치환술을 고려할 수 있습니다. 인공관절 치환술. 과거에는 발목관절염이 심할 때 통증을 완화하기 위해 관절유합술을 시행했지만 관절유합술은 발목 관절을 구부리고 펴지 못하는 장애를 남기고 있어 큰 불편을 겪었다. 관절 교체 수술은 발목 움직임을 유지하면서 통증을 제거하는 혁신적인 대안입니다. 발은 인체에서 가장 많이 사용되는 부위로 발의 건강을 좌우한다고 합니다. 이것은 매우 중요한 부분입니다. 자주 사용하는 부품이기 때문에 쉽게 다칠 수 있지만 매우 중요한 부품이기 때문에 다치지 않도록 각별한 주의가 필요합니다. 발목이 심하게 다친 경우에는 인천모두병원에서 소개하는 인공발목관절 치환술로 치료가 가능하지만 다치지 않도록 주의하시고 수술을 피하시기 바랍니다. 발목 수술은 병원의 모든 것!부상을 당하여 어떠한 치료를 받아도 상태가 호전되지 않는다면 인천 남동구 모도병원에서 인공관절 치환술을 고려해보시기 바랍니다. 한계를 극복하기 위해 1. 최소침습수술(MIS) 기술을 이용한 개인 맞춤형 인공관절 2. 풍부한 경험을 갖춘 숙련된 의료진의 고품질 수술(정밀 절골술, 인대 균형 등) 기술 4. 수술 절개 부위가 작아(약 10cm) 회복이 빠르고 흉터가 작습니다. 발목 관절 성형술은 발목 치료의 거의 마지막 단계입니다. 모두의병원에서는 약물치료, 물리치료, 인공관절 치환술 등 비교적 간단한 치료가 가능합니다. 즉, 다양한 치료방법으로 치료가 가능하기 때문에 환자의 상태에 따라 치료를 하게 됩니다. 발목의 통증을 방치하지 마시고 인천 남동구 모두병원으로 내원하시기 바랍니다. 모두병원 인천광역시 남동구 농구애로 88