신장은 침묵하는 기관이라 몸이 아파도 초기 증상이 거의 없어 알 수 없는 상태가 많다. 신장낭종(콩팥낭종)은 나이가 들면서 생기는 흔한 질환이라고 설명을 들었는데, 정기적인 검사가 필요하다는 말을 듣고 신장낭종(신장낭종)이 암으로 발전하지 않을까 걱정이 되었습니다. 신장낭종은 어떤 질환인가요? 오늘은 신장낭종(신장낭종, 신장낭종, 복부초음파)의 증상과 수술에 대해 알아보도록 하겠습니다. 신장 낭종이란 무엇입니까?
![]()
신낭종은 신장에 체액이 고여 생기는 낭종을 말하며 선천성/후천성/단순신낭종/낭성신낭종으로 나눌 수 있습니다. 신장 낭종(신장 낭종)은 신장 낭종(신장 낭종)의 수, 신장 실질이 파괴된 정도, 낭종에 다른 장기가 동반되는지 여부에 따라 분류 및 치료할 수 있습니다. 신장 낭종(신장 낭종)은 대부분의 낭종과 마찬가지로 임상적으로 거의 의미가 없는 단순한 낭종이며 그 원인은 잘 알려져 있지 않습니다. 일종의 노화 현상인 것 같아요. 드물게 신장 낭종(신장 낭종)은 크기가 매우 크거나 합병증이 있는 경우 문제가 될 수 있습니다.신장 낭종 증상
![]()
모하마드 하산, Pixabay 경유
단순 신장 낭종(신장 낭종)은 일반적으로 무증상이지만 신장 낭종(신장 낭종)이 크기가 커지고 다른 장기를 누르면 통증이 발생할 수 있습니다. 드물게 신장 낭종(신장 낭종)의 감염은 발열, 통증 또는 압통을 유발할 수 있으며 신장 낭종(신장 낭종)이 확대로 인해 파열되는 경우 소변 내 혈액이 발생할 수 있습니다. 일반적으로 단순 낭종은 신장 기능 저하를 유발하지 않지만 다낭성 신장 질환은 서서히 신부전으로 진행될 수 있습니다.복부초음파
![]()
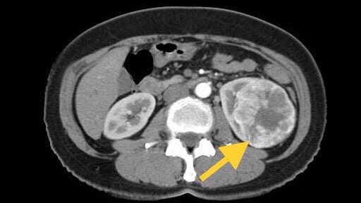
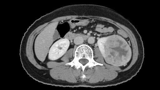
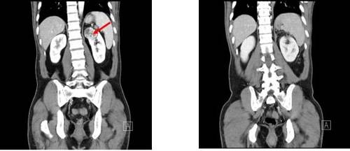
신장질환 진단에 있어 복부초음파는 가장 흔하고 비침습적이며 많은 정보를 얻을 수 있고 복막 내 다양한 장기를 관찰할 수 있다. 최근에는 건강검진 시 복부 초음파 검사를 자주 시행하여 새로운 종양을 조기에 발견하는 경우가 많습니다. 복부초음파에서 신장에 낭종이 발견되면 단순낭종인지 복합낭종인지 고형종양인지 구분할 수 있다고 합니다. 조영제를 사용한 CT 스캔이 권장됩니다.신장 낭종 치료
픽사베이를 통한 치모노
![]()
대부분의 단순 신장 낭종(신장 낭종)은 특별한 치료가 필요하지 않으며 정기적인 추적 검사로 충분합니다. 그러나 신장 낭종(콩팥낭종)이 매우 크고 관련 증상이 있는 경우에는 대증적 치료가 필요합니다. 단순 신장 낭종(신장 낭종)은 신장이 있는 쪽에 구멍을 뚫어 카테터를 삽입하고 내부의 용액을 배출한 후 카테터를 통해 약물을 주입하여 낭종이 융합되도록 함으로써 치료합니다.
![]()
Unsplash를 통한 nmelchorh

드물게 낭성 신장암이 의심되는 경우 신장을 제거하는 수술이 필요할 수 있습니다. 이때 수술은 신낭종(콩팥낭종)의 크기에만 의존하지 않는다고 합니다. 신장 낭종(신장 낭종 또는 신장 낭종)으로 인한 합병증이 있거나 영상 검사에서 악성 가능성이 있는 경우 수술을 고려할 수 있습니다.

이상신장낭종(신장낭종, 신장낭종, 복부초음파)의 증상과 수술에 대해 알아봅니다.
![]()
신장질환의 증상과 치료, 만성/급성 신부전(신장,말기) 신장(신장)은 침묵하는 기관으로 여겨져 신장(신장)의 기능이 20~30% 파괴되어도 자각증상이 느껴지지 않는다… m.blog.naver.com

![]()
